Bodrogi Attila DDS Bespoke Smile

EDUCATION - ESTHETICS

Bodrogi

ESTHETICS

LEVEL E1

ESSENCE OF ESTHETICS


LECTURE TOPICS

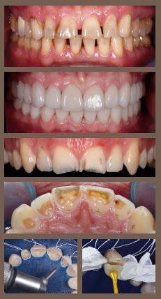
Dental photography, DSLR camera, Flash systems, Photo protocol for consultation, case documentation and planning (just the way we do it on a daily bases)

  • Facial-, dento-labial-, phonetic-,dental-, functional analysis
  • Esthetic checklist for planning
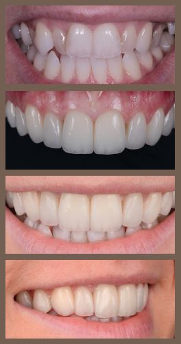
  • Smile design, wax-up, mock-up
  • Basics of esthetics, communication with your lab technician
  • Direct /indirect wax up, mock up

HANDS-ON:

1. Photography step by step

2. Documentation protocol

3. Basic photo editing for successful treatment plan presentation

4. Basic photo editing for planning and professional communication

5. Transferring the smile design to wax up and mock up

LEVEL E2

THE ULTIMATE VENEER COURSE FOR YOUR FIRST CASES


LECTURE TOPICS

  • Case selection, indications
  • Material considerations through the eye of the lab technician
  • Partial ceramic restoration design: veneer, veneerlay, partial crown, table top...
  • Guided preparation with mock-up & silicon index
  • Instrumentation
  • Soft tissue management
  • Impression
  • Temporisation, BFEP ( Bonded Functional Esthetic Prototype)
  • Isolation, Bonding

HANDS-ON:

1. Veneer (Type I.) preparation on model , utilizing silicon index for prep guidance

2. Retraction-, impression-, temporary-, bonding solutions, techniques, strategies

LEVEL E3

VENEER MASTERCLASS


LECTURE TOPICS

  • Detailed Digital Smile Design
  • Bleaching resistant tooth preparation
  • Prep design for veneers in crowding cases
  • Prep design for veneers in diastema closure
  • Prep design in extensive tooth structure loss
  • Occlusal veneers (Table tops)
  • Material selection

HANDS-ON:

Different type of veneers preparation on an advanced
model with:
1. Ectopic case - heavy prep, IDS (immediate dentin seal)
2. Diastema closure, approximate finish-line verification
3. Occlusal interference, prep for Table tops

LEVEL E4

RESPONSIBLE ESTHETICS™


LECTURE TOPICS

COMPREHENSIVE APPROACH FOR LONG TERM PREDICTABILTY
  • Role of occlusion ( MI vs CR )
  • Equilibration
  • Altering VDO
  • Facebow transfer
  • Functional wax-up
  • Transitional bonding
  • Splint therapy
  • Palatal veneers
  • Modified prep design in FMR (Full Reconstruction)

HANDS-ON:

Different type of veneers preparation on an advanced
model with:
1. Taking facebow transfer
2. Transitional bonding and guided preparation on model according to
full mouth functional wax up
3. Direct-, semidirect palatal veneer fabrication.

 

IMPLANTS/SURGICAL COURSES >>

All images on the web site are property of Dr. Attila Bodrogi and any copying of images and infringement of copyright is strictly forbidden.
Fizetési feltételek | www.bodrogi.com